


近日,西安医学院第一附属医院神经外二科成功救治了一位同时患有原发性三叉神经痛、右侧后交通动脉瘤以及肺部占位性病变的老年女性患者。面对复杂棘手的病情,医院多学科团队紧密协作,以精湛医术和人文关怀,为患者打开了生命通道,书写了一段精彩的医疗救治篇章。
罕见凶险:“三座大山”压顶 治疗陷两难
64岁的陈阿姨(化名)近年来饱受“右侧原发性三叉神经痛”的折磨。这种被称为“天下第一痛”的疾病,让她的右侧颜面部时常在咀嚼、说话甚至微风吹拂时,触发难以忍受的闪电般剧烈疼痛,生活质量严重受损。
然而,祸不单行。术前全面检查时,医生发现陈阿姨的头颅动脉血管核磁成像显示右侧后交通动脉有一个动脉瘤,后经全脑血管造影术确诊为“5mm×6mm的右侧后交通动脉瘤”。这颗隐藏在颅内血管壁上的“不定时炸弹”,随时可能破裂导致致命性蛛网膜下腔出血。
更棘手的是,胸部CT检查还意外发现其胸腔内有一个约3cm×2.5cm的占位性病变。头颅、胸部同时患有三种不容忽视的疾病,让治疗决策陷入了两难境地。

多学科会诊:抽丝剥茧 寻找最优解
“这是一个典型的多学科协作挑战病例,治疗顺序的选择直接关系到患者的安危与预后。”神经外二科贾卓鹏主任介绍道。后交通动脉瘤与后交通动脉及颈内动脉后交通段关系密切,且患者存在右侧胚胎型大脑后动脉,无法通过开颅夹闭的方式处理动脉瘤。若先处理动脉瘤,鉴于其形态和位置,单纯弹簧圈栓塞(裸栓)难度极大,极有可能需要植入支架辅助。而一旦使用支架,患者就必须接受至少6个月的阿司匹林和氯吡格雷双联抗血小板治疗(双抗),这期间因抗血小板药物会显著增加手术出血风险,针对三叉神经痛的任何有效外科手术都无法进行,患者将继续承受剧痛折磨。
反之,若先处理三叉神经痛,常规的微血管减压术(MVD)需要在全麻下开颅,术中动脉瘤破裂的风险真实存在且致命,这对医生和患者来说都是一场豪赌。
面对两难境地,该院医务部迅速组织了由神经外科、神经内科、麻醉科、心胸外科、影像科等多学科专家参与的联合会诊。专家们深入分析病情后认为,陈阿姨的胸腔占位目前无明显症状,且性质初步判断良性神经源性肿瘤可能性大,可以密切观察,暂缓处理。因此,矛盾焦点集中在先处理动脉瘤还是先处理三叉神经痛上。
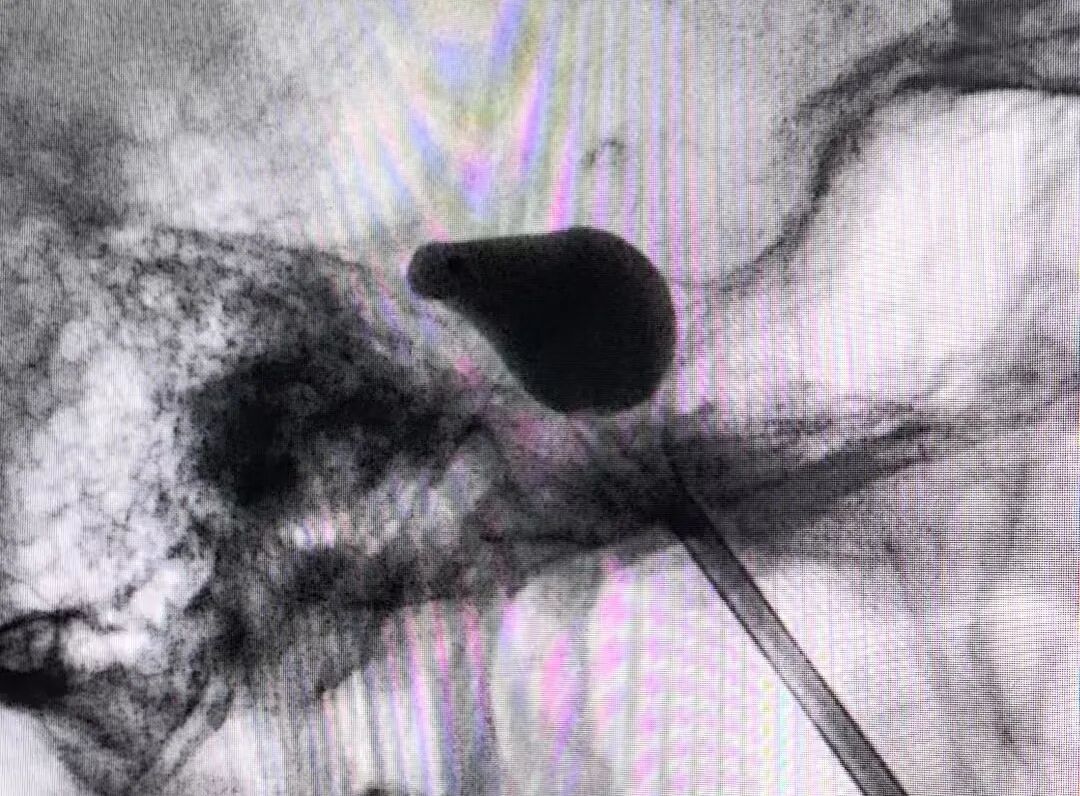
经过反复权衡利弊,并与患者家属全面深入沟通后,医疗团队做出了大胆决策——先行实施“经皮穿刺三叉神经半月节球囊压迫术(PBC)”来治疗三叉神经痛。神经外二科姜海涛教授解释,PBC是一种微创手术,通过面部穿刺一个针眼,在X线引导下将球囊导管送至颅内负责面部感觉的三叉神经半月节,然后充盈球囊有控制地压迫神经,从而阻断疼痛信号的传导,具有手术时间短、术后恢复快的优点。
不过,在陈阿姨这个特殊病例中,PBC手术依然潜藏着巨大风险——三叉神经心脏反射(TCR)。穿刺或球囊压迫三叉神经节时,可能强烈刺激神经,引发心率急剧下降、血压骤然飙升(收缩压可达200 - 300mmHg),严重时可导致心跳骤停。对于本身就存在未处理动脉瘤的患者而言,血压的剧烈波动无疑极大地增加了动脉瘤破裂的风险。

精湛技艺:多学科护航 打赢首场攻坚战
尽管决策存在巨大风险,但基于优先解决患者痛苦的考量,以及对团队医疗技术水平和协作能力的强大底气,方案得以执行。手术当天,手术室气氛凝重却有序。姜海涛教授带领神外二科医疗团队与麻醉科团队进行了详尽的术前预案。
麻醉科团队严阵以待,为陈阿姨实施了精准的全身麻醉与生命体征监测,并准备了应对心率下降的阿托品、异丙肾上腺素等急救药品,随时准备处理血压的剧烈波动。
手术中,主刀医师凭借丰富的经验和稳定的手感,在影像引导下轻柔、缓慢地进行穿刺操作,力求将对神经的刺激降到最低。麻醉医生紧盯监护屏幕,实时汇报血压、心率数据。手术团队与麻醉医生之间指令清晰,配合默契。血压高时暂停操作,调整节奏;麻醉医生精准用药,稳定血压。在充分的预案和团队紧密协作的保驾护航下,患者生命体征始终稳稳控制在安全范围内,整个手术过程如预期顺利结束。
柳暗花明:疼痛消失 前路明朗
术后,陈阿姨麻醉苏醒后的第一感觉就是困扰她多年的右侧颜面部剧痛消失了!她终于可以安心地吃饭、喝水,不用再提心吊胆提防着随时可能袭来的疼痛。
“首战告捷意义重大。”贾卓鹏主任欣慰地说,“我们成功地为患者卸下了‘三叉神经痛’这座大山,极大改善了她的生存质量。更重要的是,我们为她后续处理动脉瘤这个更危险的‘炸弹’扫清了障碍,赢得了主动。接下来,患者将进入一段恢复观察期,待身体状态稳定后,神经介入团队将择期对动脉瘤进行评估和干预。”
多学科协作:打破学科壁垒 整合优质医疗资源
本例手术的成功,是西安医学院第一附属医院多学科协作诊疗(MDT)模式优越性的生动体现。面对复杂疑难病例,打破学科壁垒,整合优质医疗资源,共同为患者量身定制最佳治疗方案,是现代医学发展的必然趋势。
此次成功救治,充分彰显了该院处理高难度、高风险神经系统疾病方面的技术积淀。术中对三叉神经心脏反射的预判和应对,体现了外科医生娴熟手术技巧与麻醉团队精湛围术期管理能力的完美结合。
同时,医院充分尊重患者的知情权与选择权,与家属进行深入沟通,建立共同抗击疾病的同盟,给予了医生敢于挑战、勇于创新的勇气和力量。目前,陈阿姨已康复出院,回归正常生活。她摆脱疼痛困扰后流露出的由衷笑容,是对所有参与救治的医护人员最大的褒奖。生命的通道已然打通,前方的治疗之路也更加清晰,医院医疗团队将继续护航,守护她以及更多患者走向更健康的未来。
新闻推荐
31 / 10月
30 / 10月
11 / 11月
11 / 11月
07 / 11月
07 / 11月
30 / 10月
30 / 10月
04 / 11月
29 / 10月
29 / 10月
31 / 10月
05 / 11月
04 / 11月
04 / 11月
新闻热榜