


21岁,本该是跑着追梦想的年纪,宝鸡小伙小倪(化名)却被一场怪病绊住了脚 —— 耳朵突然听不清,还总头晕,一查竟发现脑子里、脊髓上长满了肿瘤。更让人揪心的是,这种 “多瘤怪病” 特别罕见,每2.5万到4万人里,可能才会有1个人得,确诊后平均只能再活15年。
耳朵听不清、走路晃悠悠,一查竟是罕见 “多瘤怪病”
2025年6月,小倪发现自己右边耳朵越来越听不清,一开始以为是熬夜累着了,没当回事。可9天过去,听力没好转,还添了新毛病 —— 一走路就晕乎乎的,像踩在棉花上。在当地医院做了检查后,医生指着片子说:“你耳朵旁边的脑子里长了东西,可能是肿瘤,得去大医院再看看。”
慌了神的家人带着小倪,辗转找到专门看脑子和神经疾病的专家团队。到了西安大兴医院渭水园院区后,接诊的神经外科二病区周教授第一时间仔细询问了他的情况,小倪说,2021年得过一次神经炎,胸口还长了个褐色的小肉疙瘩。结合这些线索,再加上详细的检查,结果让所有人都捏了把汗:小倪的脑内多处有肿瘤,连脊髓里也藏着不少。
周教授跟小倪和家属解释:“这是一种特别罕见的病,叫‘2型神经纤维瘤病’,不是只长一个肿瘤,而是全身神经旁边都可能冒出来。现在你听力下降、走路晃,就是肿瘤压到神经了;再拖下去,肿瘤会越长越大,不仅可能听不见,还会压得你站不起来。”

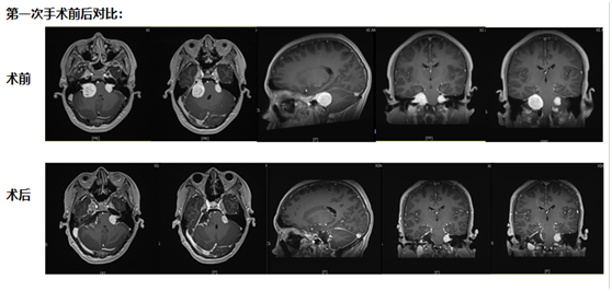
第一次手术:从耳后开口,既要拆瘤又要保听力
“必须马上手术!” 团队讨论时,周教授分析,“现在肿瘤已经压到听力和平衡神经了,再等1个月,负责听力的神经可能就彻底坏死,到时候再切肿瘤,耳朵也听不见了。”
考虑到小倪才21岁,团队没选 “一刀切” 的方案,而是决定从耳后开一个约10厘米的小口 —— 这个位置能精准摸到耳朵旁边的肿瘤,还能尽量避开控制听力、面部活动的神经。
手术当天,医生在显微镜下一点点 “剥” 肿瘤:剥到肿瘤深处时,医生发现再往里切,必然会伤着听力神经。“停!这里留一点点,先保听力。” 团队果断调整,把能安全切除的肿瘤全清干净,再仔细止血,避免术后出血。

第二次手术:抢在神经坏死前,拆脊髓旁的 “麻烦瘤”
第一次术后第5天,小倪的头晕明显恢复好转,但团队没敢松劲:这种病的肿瘤会 “到处跑”,脊髓上的病灶还没处理,必须趁小倪恢复好,赶紧查清楚 —— 果然,脊髓脖子附近的肿瘤已经让他右边胳膊又疼又肿,连拿杯子都费劲。
“必须尽快处理脊髓上的肿瘤,不然神经压得时间长了,胳膊可能就真的动不了了。” 团队马上制定手术方案。这次手术更精细:脊髓旁边全是神经,稍微不小心就可能影响走路、抬手,甚至大小便。而且颈椎上的肿瘤两个,一个在枕骨大孔,一个在第三颈椎平面,要一次手术,把两个肿瘤都拿下来。
第二次术后第1天,小倪一醒就试着动了动右手:“不肿了,也不那么疼了!” 第二天拍片子,显示手术部位恢复得很好,没有出血和水肿。
对罕见病患者而言,小倪的病难在肿瘤多、易复发,还得在“切瘤”和“保功能”间找平衡。周教授团队两次手术都踩准关键节点:第一次抢在听力神经坏死前保听力,第二次赶在脊髓神经受损前解胳膊痛。
如今小倪已顺利出院,吃饭、走路、抬胳膊都正常,看着小倪的情况一天天好转,家属说:“一开始知道得这么罕见的病,我们都快绝望了,幸好你们一次次抢时间手术,太谢谢了!”
新闻推荐
31 / 10月
30 / 10月
11 / 11月
11 / 11月
07 / 11月
07 / 11月
30 / 10月
30 / 10月
04 / 11月
29 / 10月
29 / 10月
31 / 10月
05 / 11月
04 / 11月
04 / 11月
新闻热榜